(+57) 3150009137

Teléfono

contacto@drquinterol.com

Correo

calle 140 #11-45 oficina 620

Bogotá - Colombia

Otros

OTROS

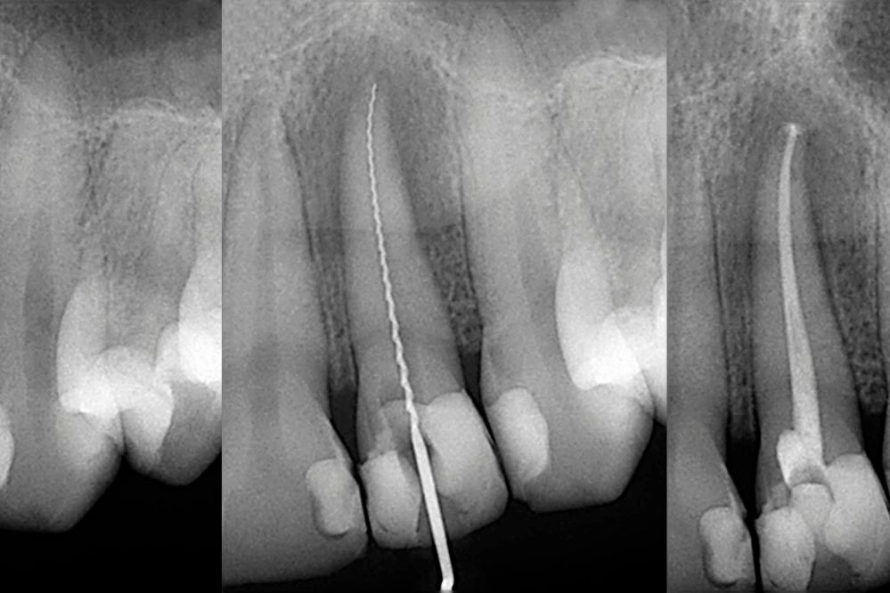
Nos enfocamos en una atención integral de tu tratamiento, por ello contamos con especialistas en Periodoncia (para atender correctamente tus encías) Endodoncia (tratamientos de conductos) Ortodoncia (para alinear tus dientes).

Beneficios

CVn un tratamiento realizado de forma interdisciplinaria obtienes mejor seguimiento y mejores resultados. Todo en un solo lugar.

Galería

Abrir chat
¿Necesitas ayuda?
¡Hola! ¿En qué puedo ayudarte?